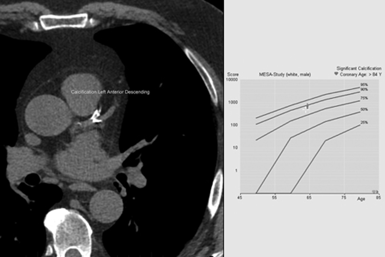
The scan is used to estimate the amount of calcification in your coronary (heart) arteries and return this as a calcium score. Based on this, your future risk of a significant event, such as a heart attack, can be determined. A comparison will also be made with others of the same age and gender found in international studies to determine whether you have more, or less calcification than expected.
Based on the scan results and other factors, your doctor will decide on the need for preventative treatment or further necessary investigations.
The scan on its own does not predict the presence of narrowed vessels and is not used to assess for a cause of chest pain. Even if the scan predicts very low or low risk of heart attack, please inform your doctor or seek urgent medical attention if you do develop chest pain or other symptoms you think may be related to your heart.
CT Calcium Scoring FAQs
-
-
Please do not have any caffeine for 12 hours prior to your appointment (including cola drinks, tea, coffee and chocolate). Drinking water is fine and we recommend you remain hydrated.
-
Please arrive early for your scan, as you will be asked to change into a gown and fill out paperwork relevant to the scan you are having. Wearing a two-piece outfit can make this easier for you.
-
If you are on any medications, do not cease them unless specifically requested by your referring doctor or Queensland X-Ray staff.
-
-
You will be asked to change into a gown before your examination and the radiographer will explain exactly what will happen during your procedure. It may vary slightly from what we describe below, so do not worry.
You will have electrocardiograph (ECG) patches attached to your chest so we can monitor your heart rate during the scan. This is one of the key parts of imaging the heart as it is constantly moving while we take pictures of it.
A Computed Tomography (CT) scanner is a doughnut-shaped with a bed passing through the middle. You will be asked to lie on the bed as still as you can. The bed will move through the scanner to acquire your images and you will be asked to hold your breath for up to 10 seconds. This helps us take the best possible pictures of your heart.
-
A CTCS will generally last between 5 – 20 minutes.
-
At Queensland X-Ray, we use a range of CT scanners, all of which provide low-dose radiation.
During a CT Calcium Score appointment, patients will be cared for by our imaging team members, which include radiographers, nurses and clinical support workers. It is important that we can make you as comfortable as possible during your time with us.
-
The cost of scans are subject to variation based on several factors. We will inform you of the CT Calcium Score price at the time of booking. If you have any questions about costs or Medicare eligibility, please feel free to contact us, and one of our team members will be happy to assist you with your query.
-
To make a CT Calcium Score appointment with Queensland X-Ray, access our portal here.
CTCS is not suitable for patients with established coronary disease, clinical history of heart attack or stent insertion.
How much will it cost?
Fees for radiology procedures will vary depending on a variety of factors. We will advise you about the cost of your service at the time of booking but if you do have any questions, contact us and one of our team will be happy to help with your query. You can read more about our billing information here.
How do I access my images?
At Queensland X-Ray, we provide our patients with their images and results online. To access your images and results, you’ll need to register for an account when you visit one of our practices. If you’ve already registered, you can access the Patient Portal here.
